리얼네이트

리얼네이트

무삭제 라미네이트

자연치아를 최대한 살리는 심미치료

리얼네이트 (무삭제 라미네이트)

서울리멤버치과의 리얼네이트란?

자연치아의 손상없이 가장 효과적인 심미치료로,
무삭제·최소삭제로 치아를 정밀하게 다듬은 뒤, 맞춤 리얼네이트를 안전하게 부착합니다.
단순한 배열 교정이 아닌 환자의 얼굴형 · 구강 상태 · 주변 치아와의 조화를 고려하여,
숙련된 의료진과 기공사가 가장 이상적인 디자인으로 완성합니다.

리얼네이트 (무삭제 라미네이트)

서울리멤버치과의 실제 리얼네이트 치료 영상

치아의 전체를 보는
통합치의학과 전문의 진료

얼굴형, 구강 상태, 주변 치아 등
전체적인 치아 균형을 통합적 관점에서 진단합니다.

의료진 X 기공사 협업으로
보다 자연스러운 보철물 제작

원내 기공소에서 숙련된 의료진과 기공사가 협업해
즉각적인 피드백과 자연스러운 보철물 제작이 가능합니다.

원재료부터
차별화된 퀄리티 높은 재료

사용되는 재료의 품질에 따라 색감과 투명도가 달라지며,
우수한 재료로 자연스럽고 오래가는 결과를 완성합니다.

기능을 넘어, 심미적 완성도를 고려한 리얼네이트

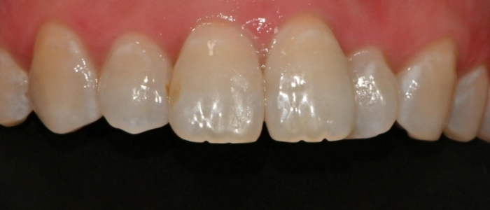
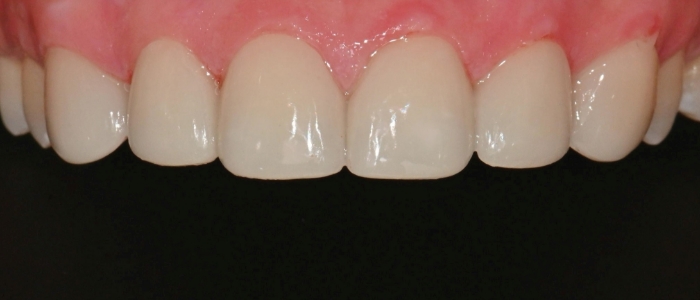
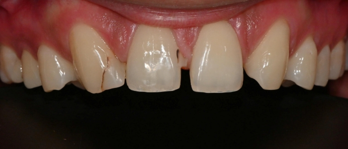
갈라지고 벌어진 색과 형태 불균형이 신경 쓰였던 치아

치료기간 : 2025.12.15 - 2025.12.25
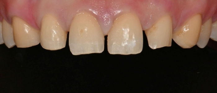
BEFORE BEFORE
화살표
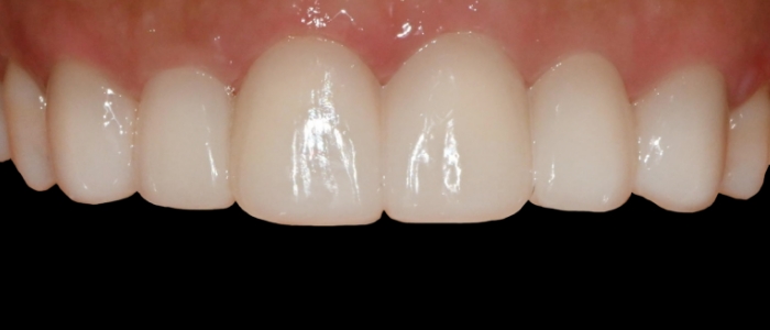
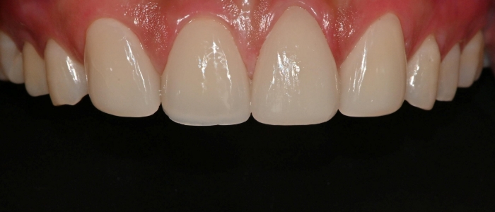
AFTER AFTER

웃을 때마다 티 나던 색과 형태 불균형이 신경 쓰였던 치아

치료기간 : 2025.11.07 - 2025.11.15
BEFORE BEFORE
화살표
AFTER AFTER

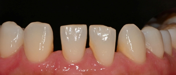
틈이 보여 항상 아쉬웠던 아랫니 라인

치료기간 : 2025.10.18 - 2025.10.25
BEFORE BEFORE
화살표
AFTER AFTER

환한 미소 짓기가 두려워 자신감이 상실되는 치아

치료기간 : 2025.09.27 - 2025.10.11
BEFORE BEFORE
화살표
AFTER AFTER

형태와 색이 어색해 늘 마음에 걸리던 치아

치료기간 : 2025.09.02 - 2025.09.30
BEFORE BEFORE
화살표
AFTER AFTER

음식을 제대로 먹기 힘든 틀어진 앞니

치료기간 : 2025.08.18 - 2025.09.05
BEFORE BEFORE
화살표
AFTER AFTER

웃을 때 날카로운 인상을 주는 삐죽한 치아

치료기간 : 2025.08.04 - 2025.08.12
BEFORE BEFORE
화살표
AFTER AFTER

평생의 콤플렉스였던 벌어진 앞니

치료기간 : 2025.05.10 - 2025.05.10
BEFORE BEFORE
화살표
AFTER AFTER

자신감을 잃게 만든 들쭉날쭉한 치아의 크기와 질감

치료기간 : 2024.12.10 - 2024.12.17
BEFORE BEFORE
화살표
AFTER AFTER

작은 균열이 큰 불편함이 된 깨진 앞니

치료기간 : 2024.06.24 - 2024.06.29
BEFORE BEFORE
화살표
AFTER AFTER

얼룩덜룩해 웃을 때마다 신경 쓰이는 치아색

치료기간 : 2023.11.10 - 2023.11.28
BEFORE BEFORE
화살표
AFTER AFTER

*본 CASE는 동일 조건에서 촬영되었으며, 환자 본인의 동의를 얻어 게재되었습니다.
모든 치료 결과는 개인에 따라 차이가 있을 수 있으며,부작용이 발생할 수 있으므로, 전문 의료진과의 충분한 상담이 필요합니다.

서울리멤버치과의원